kiayun手机版登录入口 46岁男子脑子里长满寄生虫,竟是因为这样涮火锅……
火锅
寒冷冬季必选美食
然而
你绝对想不到
火锅也可能威胁生命

前些日子,46岁做建筑工作的朱先生kiayun手机版登录,鉴于薪资到手,下班后途经菜市场,顺路购进些猪肉、羊肉,返回合租住处,打算自行制作一顿麻辣口味的火锅,再搭配些许小酒,以此消除整日从事体力劳动的疲惫 。
未曾料想到,经历了一段时期之后,朱先生在白天的时候,常常会感觉到头晕,其头顶部位还会出现胀痛的情况,而且在半夜处于熟睡状态之际,出现了肢体抽搐,以及口吐白沫等癫痫病症的症状。
朱先生被浙江省医学会热带病与寄生虫病分会主任委员、浙江大学第一附属医院感染病科副主任黄建荣主任医师接诊,黄建荣对朱先生仔细问诊,因朱先生前不久吃过火锅涮猪肉、羊肉,考虑后建议朱先生查头颅磁共振。
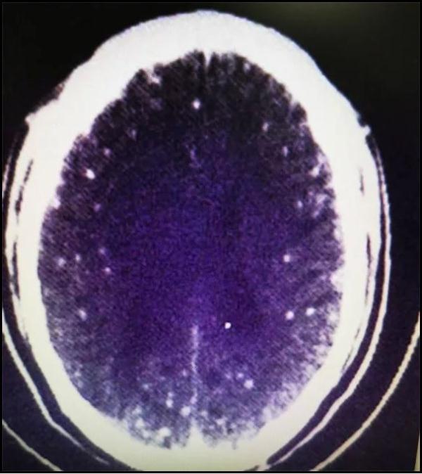
最后发觉,两侧大脑半球存在多发病变情况,再结合血以及脑脊液内囊虫抗体呈现阳性这个结果,从而诊断为脑囊虫病。

颅内CT显示有多个白点病变
然而,令朱先生困惑不解的是,怎么自个儿吃了一回火锅,大脑竟然就呈现出这般状态了呢?问号。
主任医师黄建荣解释说,问题并非出在火锅自身,而是在于所涮的猪肉、羊肉,其本身可能存在猪囊尾蚴虫寄生的情况,接着在吃火锅的时候,肉没有被涮煮到熟透的程度,进而致使猪囊尾蚴虫经由消化道进入了脑子。
一定是这般!那些肉我不过随意涮了一回,麻辣锅底原本就是红彤彤的,根本就没法看出肉是否熟透了,我便心急火燎地吃了进去。朱先生一听阐述,立刻就回想起来了 。
所以说,吃火锅,一定要煮熟!这一步非常关键!

很多寄生虫,都是吃出来的!
人生在世,并非罕见因粗心大意进而致使感染寄生虫的情形。特别是如下这般的食用方式,感染几率颇高!比如说:
喜欢吃醉虾醉蟹:肺吸虫
《舌尖上的中国》致使江浙一带的醉蟹在全国范围内广泛走红,然而你可千万别轻视其中所潜藏的危害。
健康时报在2013年对宁波市疾病预防控制中心寄生虫病与地方病防治所所长张劼楠进行了采访,当时张劼楠表示,宁波市每年都会查出60至80例肺吸虫病,而其中的大部分病例,是由于食用醉蟹、醉虾才引发的,。

肺吸虫不但会对我们那柔弱宛如豆腐般的肺展开破坏,而且还必然会钻进大脑之中。然而值得庆幸的是,但凡是能够得以确诊,服用杀虫药物只需两三天便能够康复了。
喜欢吃生鱼片:肝吸虫
鱼类最容易被肝吸虫感染而传染给人。
我国广东省这个地方,是肝吸虫病出现概率很高的区域。依靠广东省卫生厅疾病预防控制处给出的数据来表明,仅仅是在1990年到2004年这个时间段里面,广东大概有500万居民感染了肝吸虫病。
2013年,中山大学附属三院营养科主任卞华伟接受健康时报采访时提醒,淡水鱼中更容易存在肝吸虫卵,要少吃生的淡水鱼,吃三文鱼等海鱼时,要挑选切鱼时“一种鱼一个砧板”的饭店,因为有可能厨师切完淡水鱼后,刀和砧板会沾上虫卵,再去切三文鱼等海鱼时,就会把虫卵“人工移植”到海鱼上。
喜欢吃蛙肉或蛇肉:曼氏裂头蚴
金羊网曾做过相关报道,在2018年的时候,广东出现过这样一件事,有一个小女孩,其颅内被取出了一条裂头蚴活虫,这条虫子的长度大约是9厘米,医生对此进行了怀疑,推测这或许和小女孩喝了生水,又或者是吃了没有经过完全煮熟的青蛙以及蛇有关。
曼氏裂头蚴进入我们的身体,它甚至会寄居在大脑部位,还会寄居在眼部,会造成失明情况发生,也会造成瘫痪等状况出现 。
这种虫子开·云app体育登录入口,会寄居在蛙类体内,还会寄居在蛇类体内,一般情况下,就算是进行爆炒情形状况下它也不会死,只有在把水烧至沸腾状态之后滚煮5分钟这样的情形状况下,才能够将这类寄生虫彻底杀死。
喜欢吃不熟的牛肉:绦虫
这并非是绳子,而是在来自南宁303医院检验科实验室,经过从消化科病人体内排出后送来的标本之中所找寻到的牛带绦虫!

@当代生活报 梁乾胜/摄
通常来讲,大型养殖场产出的牛羊肉是具备检验检疫保障的,然而,在日常生活当中,能够发现有不少人家是自己养殖猪牛羊的,如此一来,便有可能接触到绦虫卵。那些喜爱吃不熟牛肉的人群,被牛带绦虫盯上的风险会处于较高的状态。
喜欢吃地摊小螺:管圆线虫
早年闹得沸沸扬扬的那起“福寿螺事件”,其主角是管圆线虫。事实上,不只是福寿螺,东风螺同样有可能携带管圆线虫。管圆线虫最喜好停留在我们的神经系统里面,致使恶心、呕吐等状况的发生,甚至引发休克、死亡 。

倘若小地摊那儿的螺肉,并无来源保证,并且也没将其好好烹饪弄熟,那就难以确保不会遇上寄生虫。那些喜爱吃螺肉的人,务必要确保将其高温煮熟,这属于防范线虫的一种有效途径。
喜欢吃黄鳝:颚口线虫
按照浙江在线所报道的情况来看,浙江省医学科学院的寄生虫病研究所,它曾经已然于病发地数量较多的那些地方,采购了10斤黄鳝,最终呢,一共分离出了恰好整整250条存活状态的颚口线虫。
当然了,此事并非表明黄鳝就此绝对不能够食用,而是明确强调必须要将其烧煮至熟透方可食用。该项研究经发现得出,于70℃往上的高温状况之下,进行4至5分钟的加热处理,黄鳝身体内部的颚口线虫便能够被消除掉。

浙江省医学科学院寄生虫病研究所的工作人员马安,在接受浙江在线采访时作出提醒,除了黄鳝之外,泥鳅、黑鱼、汪刺鱼、鲶鱼这些鱼类以及鳗鱼之类里面同样是存在这样的虫子的,所以,在食用这些水产之际必须要将其烧熟才行,另外,饭店通常喜好采用猛火快炒鳝丝鳝段的方式,而藏在鳝段内部的颚口线虫极有可能并未被杀死,并且,通过腌制、酒泡等方式,是更加无法成功杀灭颚口线虫的。
远离寄生虫,记好3句话
1、正规场所购买食材
卖肉要到规场所kiayun手机版登录app游戏登录入口.手机端安装.cc,有检验检疫保证。不要随便吃野外的各种野味。
2、彻底加热
烹调时肉一定要熟透,吃生鱼片一定要到正规地方。
3、生熟要分开
生的食物,熟的食物,或者是存放的时候,亦或是切割的时候,都得留意分开,防止生的食物与熟的食物出现交叉污染的情况。
举例来说,刀具、砧板、碗盘这类器皿,生熟使用要分开,不能进行混用。放置生食的,洗过后必须消毒,之后才可以再次使用。
